二重埋没法・切開法
二重・二重まぶた 全切開法


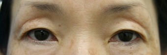
施術の解説
【全切開二重術】のご紹介です。
写真は術前、術後3ヶ月です。
まぶたのたるみが解消され、まつ毛の生え際が露出しました。
左右左の目立たないバッチリした印象的な目元になりましたね。
| 治療回数 | 1回 |
|---|---|
| 施術のリスク・副作用 |
出血・血腫、感染・化膿、アレルギー・アナフィラキシー、異物感、ドライアイ、仕上がりの左右差、しわが増えたと感じる、低矯正・過矯正など。 |
| 施術の総額費用(税込) | 全切開法 330,000円 |
医師・看護師
大阪梅田ヘップナビオ院院長 谷 聡柄 院長

患者様のお悩みを共有できるまでしっかり傾聴し、ご要望に沿えるような施術を提案してまいります。その際、美容皮膚科と美容外科手術の両面からメリット・デメリットをしっかりとお伝えし、施術は常に最善を尽くし、アフターフォローもしっかりと行ってまります。
皆さまが自分らしく積極的で前向きになれるように、お手伝いさせて頂きたいと思います。

その他の症例紹介
二重埋没法・切開法
二重まぶた スーパープレミアム埋没法 3点留め


- 医師・看護師:理事長
竹内 孝基 医師 -
施術のリスク/副作用:
皮下出血、感染、しこり形成、埋没縫合糸の露出、仕上がりの左右差、まぶたの違和感、眼球の異物感等。
- 施術の総額費用(税込):154,000円
二重埋没法・切開法
二重まぶた埋没法


- 医師・看護師:大阪梅田ヘップナビオ院 中山理華子
-
施術のリスク/副作用:
皮下出血、感染、しこり形成、埋没縫合糸の露出、仕上がりの左右差、まぶたの違和感、眼球の異物感等。
- 施術の総額費用(税込):プレミアム埋没法
2点両目 66,000円
3点両目 99,000円
スーパープレミアム埋没法
2点両目 88,000円
3点両目 121,000円
眉毛下切開法・重瞼ライン切開法
眉毛下切開法+埋没法


- 医師・看護師:大阪梅田ヘップナビオ院院長 谷 聡柄 院長
-
施術のリスク/副作用:
皮下出血、感染、しこり形成、埋没縫合糸の露出、仕上がりの左右差、まぶたの違和感、眼球の異物感等。
出血・血腫、皮下出血、感染・化膿、アレルギー・アナフィラキシー、しわが増えたと感じる、仕上がりの左右差、傷が盛り上がる、へこみができる、埋没縫合糸の露出など。
- 施術の総額費用(税込):眉毛下切開法
約40,000円(保険適応の場合)
330,000円(自費の場合)
プレミアム埋没法
2点両目 66,000円
3点両目 88,000円
スーパープレミアム埋没法
2点両目 132,000円
3点両目 154,000円
二重埋没法・切開法
二重まぶた スーパープレミアム埋没法 3点留め


- 医師・看護師:理事長
竹内 孝基 医師 -
施術のリスク/副作用:
皮下出血、感染、しこり形成、埋没縫合糸の露出、仕上がりの左右差、まぶたの違和感、眼球の異物感等。
- 施術の総額費用(税込):154,000円

