眉毛下切開法・重瞼ライン切開法
眉毛下切開法


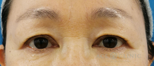
施術の解説
眉毛下切開法のご紹介です。
上まぶたの余分な皮膚を眉毛の下で切除し、目元をすっきりとさせる方法です。
元々の目の印象を保ちながらたるみを解消するため自然な仕上がりであり、かつダウンタイムも少なめです。
眉毛の下縁に沿って傷ができます。
術後1ヶ月でまだ少し傷の赤み•腫れはありますが、3ヶ月も経つと随分目立たなくなります。
自然な若返りが可能なので是非お気軽にご相談ください。
| 治療回数 | 1回 |
|---|---|
| 施術のリスク・副作用 |
出血・血腫、皮下出血、感染・化膿、アレルギー・アナフィラキシー、しわが増えたと感じる、仕上がりの左右差、傷が盛り上がる、へこみができる、埋没縫合糸の露出など。 |
| 施術の総額費用(税込) | 330,000円 |
| 施術詳細ページ |
眉毛下切開法の詳細はこちら |
医師・看護師
大阪梅田ヘップナビオ院 中山理華子

どんな些細な悩みでも構いません、一緒に解決していきましょう。
踏み出したその1歩で長年のコンプレックスから解放されるかもしれません。
毎日を少しでもご機嫌に過ごせるお手伝いができればと思います。

その他の症例紹介
眼瞼下垂
重瞼線皮膚切除法


-
施術のリスク/副作用:
出血・皮下出血・結膜出血、感染・化膿、アレルギー・アナフィラキシー、異物感、ドライアイ、しわが増えたと感じる、低矯正・過矯正、仕上がりの左右差、再発など。
- 施術の総額費用(税込):約36,000円(健康保険3割負担の場合)
眉毛下切開法・重瞼ライン切開法
眉毛下切開


- 医師・看護師:大阪梅田ヘップナビオ院院長 谷 聡柄 院長
-
施術のリスク/副作用:
出血・血腫、皮下出血、感染・化膿、アレルギー・アナフィラキシー、しわが増えたと感じる、仕上がりの左右差、傷が盛り上がる、へこみができる、埋没縫合糸の露出など。
- 施術の総額費用(税込):330,000円
眉毛下切開法・重瞼ライン切開法
眉毛下切開


- 医師・看護師:大阪梅田ヘップナビオ院院長 谷 聡柄 院長
-
施術のリスク/副作用:
出血・血腫、皮下出血、感染・化膿、アレルギー・アナフィラキシー、しわが増えたと感じる、仕上がりの左右差、傷が盛り上がる、へこみができる、埋没縫合糸の露出など。
- 施術の総額費用(税込):330,000円
眉毛下切開法・重瞼ライン切開法
眉毛下切開法+埋没法


- 医師・看護師:理事長
竹内 孝基 医師 -
施術のリスク/副作用:
皮下出血、感染、しこり形成、埋没縫合糸の露出、仕上がりの左右差、まぶたの違和感、眼球の異物感等。
出血・血腫、皮下出血、感染・化膿、アレルギー・アナフィラキシー、しわが増えたと感じる、仕上がりの左右差、傷が盛り上がる、へこみができる、埋没縫合糸の露出など。
- 施術の総額費用(税込):398,000円

