眼瞼挙筋前転術
経結膜ハムラ法


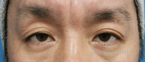
施術の解説
本日は、目元の若返り手術を受けられたモニター様のご紹介です。
【眼瞼下垂手術】
【裏ハムラ法】
を同日施術しました。
モニター様写真は術前⇒術後2ヶ月です。
【眼瞼下垂手術】
目の開きが良くなるともに、 黒目に光が入り、目ヂカラが出ました。
【裏ハムラ法】
目の下は凹凸感のない若々しい目元になりました。
目元の複合手術を行うことで、若々しく洗練された印象となりました。
| 治療回数 | 1回 |
|---|---|
| 施術のリスク・副作用 |
出血・血腫、感染・化膿、アレルギー・アナフィラキシー、しわが増えたと感じる、仕上がりの左右差、膨らみが残る、へこみができる、外反、ドライアイなど。 |
| 施術の総額費用(税込) | 385,000円/経結膜ハムラ法 約45,000円/眼瞼挙筋前転法(健康保険3割負担の場合) |
| 施術詳細ページ |
ハムラ法(経結膜ハムラ法・皮切ハムラ法)の詳細はこちら 眼瞼下垂の詳細はこちら |
医師・看護師
大阪梅田ヘップナビオ院院長 谷 聡柄 院長

患者様のお悩みを共有できるまでしっかり傾聴し、ご要望に沿えるような施術を提案してまいります。その際、美容皮膚科と美容外科手術の両面からメリット・デメリットをしっかりとお伝えし、施術は常に最善を尽くし、アフターフォローもしっかりと行ってまります。
皆さまが自分らしく積極的で前向きになれるように、お手伝いさせて頂きたいと思います。

その他の症例紹介
眼瞼挙筋前転術
眼瞼挙筋前転術


- 医師・看護師:大阪梅田ヘップナビオ院院長 谷 聡柄 院長
-
施術のリスク/副作用:
出血・皮下出血・結膜出血、感染・化膿、アレルギー・アナフィラキシー、異物感、ドライアイ、しわが増えたと感じる、低矯正・過矯正、仕上がりの左右差、再発など。
- 施術の総額費用(税込):約45,000円(健康保険3割適用の場合)
眼瞼挙筋前転術
眼瞼挙筋前転術


- 医師・看護師:理事長
竹内 孝基 医師 -
施術のリスク/副作用:
出血・皮下出血・結膜出血、感染・化膿、アレルギー・アナフィラキシー、異物感、ドライアイ、しわが増えたと感じる、低矯正・過矯正、仕上がりの左右差、再発など。
- 施術の総額費用(税込):約45,000円(健康保険3割負担の場合)
眼瞼挙筋前転術
眼瞼挙筋前転術


- 医師・看護師:大阪梅田ヘップナビオ院院長 谷 聡柄 院長
-
施術のリスク/副作用:
出血・皮下出血・結膜出血、感染・化膿、アレルギー・アナフィラキシー、異物感、ドライアイ、しわが増えたと感じる、低矯正・過矯正、仕上がりの左右差、再発など。
- 施術の総額費用(税込):約45,000円(健康保険3割適用の場合)
眼瞼挙筋前転術
眼瞼挙筋前転術


- 医師・看護師:理事長
竹内 孝基 医師 - 施術の総額費用(税込):約45,000円(健康保険3割負担の場合)

