眼瞼挙筋前転術
眼瞼挙筋前転術


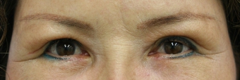
施術の解説
【眼瞼下垂手術】のご紹介です。
まぶたが下がって見づらさを自覚しておられた患者様です。
腱膜性眼瞼下垂と診断し、【眼瞼挙筋前転術】を施術しました。
写真は術前⇒術後1か月です。
黒目の露出は大きくなり、目や額に力を入れなくても楽に見ることが出来る様になりました。
二重まぶたを作成することにより、皮膚の被さりと逆まつげも解消しました。
外観的にも目ヂカラのある印象的な目元になりましたね。
| 治療回数 | 1回 |
|---|---|
| 施術のリスク・副作用 |
出血・皮下出血・結膜出血、感染・化膿、アレルギー・アナフィラキシー、異物感、ドライアイ、しわが増えたと感じる、低矯正・過矯正、仕上がりの左右差、再発など。 |
| 施術の総額費用(税込) | 約45,000円(健康保険3割適用の場合) |
医師・看護師
大阪梅田ヘップナビオ院院長 谷 聡柄 院長

患者様のお悩みを共有できるまでしっかり傾聴し、ご要望に沿えるような施術を提案してまいります。その際、美容皮膚科と美容外科手術の両面からメリット・デメリットをしっかりとお伝えし、施術は常に最善を尽くし、アフターフォローもしっかりと行ってまります。
皆さまが自分らしく積極的で前向きになれるように、お手伝いさせて頂きたいと思います。

その他の症例紹介
眼瞼挙筋前転術
眼瞼挙筋前転術


- 医師・看護師:理事長
竹内 孝基 医師 -
施術のリスク/副作用:
出血・皮下出血・結膜出血、感染・化膿、アレルギー・アナフィラキシー、異物感、ドライアイ、しわが増えたと感じる、低矯正・過矯正、仕上がりの左右差、再発など。
- 施術の総額費用(税込):約45,000円(健康保険3割負担の場合)
眼瞼挙筋前転術
眼瞼挙筋前転法


- 医師・看護師:大阪梅田ヘップナビオ院院長 谷 聡柄 院長
-
施術のリスク/副作用:
出血・皮下出血・結膜出血、感染・化膿、アレルギー・アナフィラキシー、異物感、ドライアイ、しわが増えたと感じる、低矯正・過矯正、仕上がりの左右差、再発など。
- 施術の総額費用(税込):約45,000円(健康保険3割負担の場合)
眼瞼挙筋前転術
前頭筋吊り上げ術(左) 30代男性


- 医師・看護師:理事長
竹内 孝基 医師 -
施術のリスク/副作用:
出血・血腫、感染・化膿、過矯正、低矯正、ドライアイ、兎眼、眼瞼内反、異物感、筋肉ヘルニアなど。
- 施術の総額費用(税込):約60,000円
眼瞼挙筋前転術
眼瞼挙筋前転術


- 医師・看護師:理事長
竹内 孝基 医師 -
施術のリスク/副作用:
出血・皮下出血・結膜出血、感染・化膿、アレルギー・アナフィラキシー、異物感、ドライアイ、しわが増えたと感じる、低矯正・過矯正、仕上がりの左右差、再発など。
- 施術の総額費用(税込):約45,000円(健康保険3割適用の場合)

