たるみ治療の症例一覧
たるみ治療
サーマクールFLX


- 医師・看護師:理事長 竹内 孝基 医師
- 施術の総額費用(税込):270,000円
たるみ治療
サーマクールCPT


- 医師・看護師:理事長 竹内 孝基 医師
- 施術の総額費用(税込):135,000円
たるみ治療
たるみ マドンナリフト


- 医師・看護師:理事長 竹内 孝基 医師
- 施術の総額費用(税込):110,000円/全顔1回
たるみ治療
たるみ マドンナリフト


- 医師・看護師:理事長 竹内 孝基 医師
- 施術の総額費用(税込):110,000円/全顔1回
たるみ治療
ウルトラVリフト


- 医師・看護師:理事長 竹内 孝基 医師
- 施術の総額費用(税込):150,000円
たるみ治療
たるみ フェイスリフト(手術)


- 医師・看護師:理事長 竹内 孝基 医師
- 施術の総額費用(税込):1,650,000円
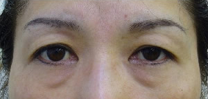
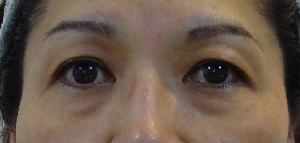
たるみ治療
ウルセラ 下まぶた


- 医師・看護師:理事長 竹内 孝基 医師
-
施術のリスク/副作用:
皮膚の発赤、腫れ、みみず腫れ、知覚鈍磨・しびれ感等
- 施術の総額費用(税込):120,000円

